
1.Les Maladies Héréditaires



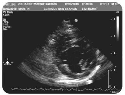
La Cardiomyopathie Hypertrophique Féline (HCM)


Le Déficit En Pyruvate Kinase (PKdef)
Se traduit par une absence de l’enzyme pyruvate kinase entraînant une destruction précoce des globules rouges et menant à une anémie plus ou moins grave selon les individus. Les symptômes observés sont la léthargie, des diarrhées, les muqueuses du chat sont pales, pouvant être associées à une perte d’appétit et de poids.
Un dépistage pour cette maladie peut être effectué par la réalisation d’un test ADN pour identifier si le chat est porteur de deux allèles normaux (N/N), si il est porteur sain, (N/PKLR) donc ne présentera aucun symptôme mais pourra transmettre l’allèle muté à sa descendance, ou si il porte deux allèles mutés (PKLR/PKLR) et sera donc atteint de la maladie.

L’atrophie Musculaire Spinale (SMA)
C'est une maladie causée par la dégénérescence des neurones qui commandent les muscles du corps et des membres. Les symptômes peuvent être plus ou moins graves et s'observent souvent chez les chatons vers l’âge de 3 ou 4 mois lorsque les faiblesses musculaires deviennent évidentes. Les chatons en grandissant deviennent maladroits et perdent leur agilité, s'associant parfois à de légers tremblements.
Le SMA est une maladie génétique héréditaire qui peut également être détectée par la réalisation d’un test ADN.

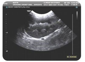
La Polykystose Rénale (PKD)

C'est une maladie héréditaire qui touche plusieurs races de chat dont le Maine Coon. Cette maladie affecte les reins et induit la présence de kystes remplis de liquide. La taille de ces cavités va augmenter avec l’âge et envahir peu à peu le rein jusqu’à ce que le tissu rénal ne soit plus assez important pour assurer ses fonctions d’épuration du rein. Le chat atteint commencera alors à présenter des symptômes qui au départ sont peu discernables comme la polydipsie (augmentation de la prise de boisson) et polyurie (augmentation du volume des urines). Si l’insuffisance rénale progresse davantage, le chat s'alimente de moins en moins, perte de poids, nausées éventuelles. Il peut également avoir du sang dans ses urines.
Cette insuffisance chronique rénale est irréversible.
Cette maladie peut être diagnostiquée soit par la réalisation de test ADN, soit par échographie.
Le test ADN va déceler si le chat porte ou non le gène responsable de la maladie. C’est une transmission autosomique dominante, le chat hétérozygote porteur d’un allèle muté du gène PKD1 noté (N/PKD1) développera une PKD.
Toutefois certains chats homozygotes sains (non porteur du gène muté) pourront développer une PKD non liée à la mutation du gène PKD1. Il est donc recommandé de réaliser des échographies rénales qui recherchent la présence clinique de Kystes quelque soit leurs origines.



