
1.Les Maladies Héréditaires



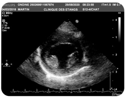
La Cardiomyopathie Hypertrophique Féline (HCM)

Cela entraîne chez le chat un épaississement du muscle cardiaque ou myocarde provoquant une insuffisance cardiaque. L’épaississement du muscle conduit à une mauvaise éjection du sang. Cette maladie concerne principalement les jeunes adultes ou adultes. La majorité des chats est asymptomatiques jusqu’au développement de l’insuffisance cardiaque. Les signes de cette maladie sont des arythmies, œdème pulmonaire, épanchement pleural, léthargie, difficultés respiratoires cependant certains chats atteints de HCM peuvent avoir des pertes de connaissances ou mourir brutalement en l’absence d’autres signes cliniques.
Cette dernière peut être détectée par un dépistage génétique mais également lors d’une auscultation cardiaque ou d’une échographie.
Le test ADN va déceler si le chat porte ou non le gène responsable de la maladie. C’est une transmission autosomique dominante, le chat hétérozygote porteur d’un allèle muté du gène MyBPC3 noté (N/MyBPC3) est à risque de développer une forme de HCM .
Toutefois certains chats homozygotes sains (non porteur du gène muté) pourront développer une autre forme de HCM que celle liée au gène MyBPC3 . Il est donc recommandé de réaliser des échographies cardiaques qui recherchent la présence de signes cliniques.


